ホーム > 気づかれない部分入れ歯 > 部分入れ歯症例
コーヌスクローネ義歯は土台の本数と使用金属、設計によって値段が変わります。
治療費用:約20万~90万
治療費用:約20万~90万
Case.1 コーヌスクローネ義歯症例(装着後25年経過)




年齢層 | 70代 男性 |
どんなお悩み | 他院で入れ歯を作られたが、入れ歯が痛くてかめない。話をする際に話しずらい、発音しずらいというお悩みがありました。治療内容 かぶせ物を外して、残ってる歯に二重に冠をかぶせて入れ歯をとめる義歯を制作(コーヌスデンチャー) |
治療 期間 | 治療期間は3か月程度 |
Case.2 コーヌスクローネ義歯症例(装着後10年経過)





年齢層 | 50代 女性 |
どんなお悩み | 他院でかぶせ物をされていたが壊れて、歯が動いて痛いというお悩みがあり、義歯を提案させていただきました。治療内容 かぶせ物を外して、残ってる歯に二重に冠をかぶせて入れ歯をとめる義歯を制作(コーヌスデンチャー) |
治療 期間 | 治療期間は3か月程度 |
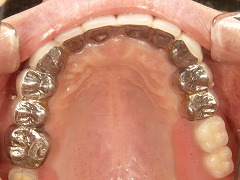
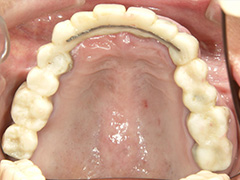
Case.3 コーヌスクローネ義歯すれ違い咬合症例(装着後11年経過)
初診時、他院で入れ歯を何回作り直しても、歯の向きが斜めになってしまい、入れ歯もすぐ外れて困っていた患者様です。






初診時、他院で作製した入れ歯と口腔内状態。




当院で製作した入れ歯を外した口腔内










治療後、当院で作製した入れ歯と口腔内状態(治療後8年経過時)
年齢層 | 60代 女性 |
どんなお悩み | かぶせ物を外して、残ってる歯に二重に冠をかぶせて入れ歯をとめる義歯を制作(コーヌスデンチャー) |
治療 期間 | 治療期間は3か月程度 |
Case.4 コーヌスクローネ義歯症例(装着後13年経過)
健康上の理由によりインプラント手術が不適応の患者様です。

初診時






初診時





年齢層 | 60代 女性 |
どんなお悩み | 健康上の理由によりインプラント手術が不適応の患者様で、義歯をご提案させていただきました。かぶせ物を外して、残ってる歯に二重に冠をかぶせて入れ歯をとめる義歯を制作(コーヌスデンチャー) |
治療 期間 | 治療期間は4か月程度 |
Case.5 コーヌスクローネ義歯症例(装着後13年経過)

初診時


当院で製作した入れ歯を外した口腔内


チタン床






年齢層 | 70代 男性 |
どんなお悩み | 上顎の入れ歯が外れて困っていらっしゃっており、下は歯周病で歯が動き痛いというお悩みをもたれていました。歯周病で保存不可能な歯を抜歯して、かぶせ物を外して、残ってる歯に二重に冠をかぶせて入れ歯をとめる義歯を制作(コーヌスデンチャー) |
治療 期間 | 治療期間は4か月程度 |
Case.6 コーヌスクローネ義歯骨隆起症例(12年経過)
上顎、下顎共に骨が出っぱってしまう骨隆起があり、入れ歯が動くと痛くて入れていられないと
訴えていた患者様。骨隆起を避けて、動かない入れ歯を製作しました。

初診時


当院で製作した入れ歯を装着した口腔内

初診時


当院で製作した入れ歯を装着した口腔内

初診時


当院で製作した入れ歯を装着した口腔内
年齢層 | 60代 女性 |
どんなお悩み | 上顎、下顎共に骨が膨隆してしまう骨隆起があり、入れ歯が動くと痛くて入れていられないと訴えていた患者様。骨隆起を避けて、動かない入れ歯を製作しました。かぶせ物を外して、残ってる歯に二重に冠をかぶせて入れ歯をとめる義歯を制作(コーヌスデンチャー) |
治療 期間 | 治療期間は3か月程度 |
Case.7 コーヌスクローネ義歯骨隆起症例(装着後10年経過)
上顎に入れ歯の床が全くないので発音上の障害はありません。

当院で製作した義歯を外した口腔内




初診時


義歯装着後6年経過時
年齢層 | 60代 女性 |
どんなお悩み | 部分入れ歯が見た感じが悪いのと、発音しずらく、外れやすく困っておられました。そこで、床がない入れ歯を提案させていただきました。かぶせ物を外して、残ってる歯に二重に冠をかぶせて入れ歯をとめる義歯を制作(コーヌスデンチャー) |
治療 期間 | 治療期間は4か月程度 |
Case.8 コーヌスクローネ義歯骨隆起症例(装着後12年経過)









年齢層 | 70代 女性 |
どんなお悩み | 入れ歯が動いて痛くていれられないということでご来院いただきました。かぶせ物を外して、残ってる歯に二重に冠をかぶせて入れ歯をとめる義歯を制作(コーヌスデンチャー)、骨の隆起をさけて口蓋の床のない入れ歯を提案させていただきました。 |
治療 期間 | 治療期間は3か月程度 |
Case.9 コーヌスクローネ義歯骨隆起症例(装着後8年経過)

初診時


上の2本の歯を抜歯してコーヌス義歯製作




年齢層 | 60代 男性 |
どんなお悩み | 入れ歯を止めている上の歯が動いて、痛くて入れ歯がいれられないということでご来院いただきました。動いてる歯を2本抜歯し、かぶせ物を外して、残ってる歯に二重に冠をかぶせて入れ歯をとめる義歯を制作(コーヌスデンチャー) |
治療 期間 | 治療期間は3か月程度 |
Case.10 コーヌスクローネ義歯症例(装着後10年経過)
他院で歯がグラグラ動いて咬み合わせも決まらないから全部歯を抜いて総義歯治療をすすめられた患者さん。

初診時

初診時

初診時

初診時


当院で製作した義歯を装着した口腔内

初診時


当院で製作した義歯を装着した口腔内

初診時


当院で製作した義歯を装着した口腔内

初診時


義歯装着後5年経過時
年齢層 | 60代 女性 |
どんなお悩み | 他院で歯がグラグラ動いて咬み合わせも決まらないから全部歯を抜いて総義歯治療をすすめられた患者さん。保存不可能な歯を抜いて、残ってる歯に二重に冠をかぶせて入れ歯をとめる義歯を制作(コーヌスデンチャー)磁性アタッチメントも併用しています。 |
治療 期間 | 治療期間は4か月程度 |
Case.11 コーヌスクローネ義歯症例(23年経過症例)
上顎:コーヌスクローネ義歯(20年使用) 下顎はコンフォート義歯(6年使用)





年齢層 | 60代(初診時) 男性 |
どんなお悩み | 入れ歯が動いて困るので、新しく作りたいという要望をいただき、コーヌスクローネ義歯を提案させていただきました。上顎がコーヌスクローネ義歯、下顎が粘膜調整義歯制作後、コンフォート義歯に置き換えて治療を行いました。 |
治療 期間 | 治療期間は3か月程度 |
Case.12 コーヌスクローネ義歯症例(11年経過症例)
他院で入れ歯を製作したが、いれていられない患者さん。
![]() 初診時 | ![]() 初診時 | ![]() 初診時 | |
![]() | ![]() | ![]() | |
■コーヌスクローネ義歯 | |||
![]() | ![]() | ![]() | ![]() |
![]() | ![]() | ![]() | |
![]() | ![]() | ![]() |
年齢層 | 60代 男性 |
どんなお悩み | 他院で入れ歯を製作したが痛くて、いれていられない患者さん。 残っているかぶせ物を外して、残ってる歯に二重に冠をかぶせて入れ歯をとめる義歯を制作(コーヌスデンチャー) |
治療期間 | 治療期間は4か月程度 |
Case.13 コーヌスクローネ義歯症例(11年経過症例)

初診時


治療後2年経過





入れ歯を外した状態


入れ歯装着時
年齢層 | 60代 男性 |
どんなお悩み | 他院で作成した入れ歯が動いて噛めないというお悩みで来院されました。右下の残根を抜いて、右の上のブリッジ、左下ブリッジを外し、上の左上2本と、右下2本を削り、二重に冠をかぶせて入れ歯をとめる義歯を制作(コーヌスデンチャー) |
治療 期間 | 治療期間は4か月程度 |
Case.14 コーヌスクローネ 義歯症例(3年経過症例)

術前正面

術前上顎

術前下顎










Before


After
年齢層 | 60代 男性 |
どんなお悩み | 上に一本義歯が入っていたが、奥歯でよく噛めないというお悩みで来院されました。残っているかぶせ物を外して、新たに虫歯の治療と同時に数本削り直し、二重に冠をかぶせて入れ歯をとめる義歯を制作(コーヌスデンチャー) |
治療 期間 | 治療期間は4か月程度 |
Case.15 コーヌスクローネ義歯症例(4年経過症例)

術前正面

術前右側

術前左側









術前 正面


術後 正面

初診時


治療後検診時
年齢層 | 50代 女性 |
どんなお悩み | 他院で仮歯を装着済みであったが、インプラント以外でも治療が可能かどうかセカンドオピニオンで来院。義歯でも可能ということで、コーヌスクローネ義歯を提案。上顎は残っているかぶせ物を外して、二重に冠をかぶせて入れ歯をとめる義歯を制作(コーヌスデンチャー) 下顎はかぶせ物を外して、新たにメタルセラミック冠をかぶせてミリング義歯制作。 |
治療 期間 | 治療期間は3か月程度 |